¿Sonrisa chueca? Esta es la “oscura” afección que daña tu mordida
Hay que aclarar una cosa, una sonrisa “perfecta” no es sinónimo de dientes alineado. Muestra es tu mordida, ¿la parte superior coincide a la hora de masticar?
Es posible que creas que el problema está en un mal hábito al comer. Sin embargo, se puede tratar de una enfermedad conocida como maloclusión Y si su nombre no te dice nada, en entrevista para Salud180, el doctor Alberto Scoot, director médico de Smiledirectclub, lo explica:
“Es el alineamiento anormal de los dientes inferiores y superiores. Esto puede ser por una cuestión genética o producirse a medida que aparecen hábitos de la niñez, por un tiempo prolongado, como la succión del pulgar o “chuparse el dedo” y el uso del chupón”.

Existen tres clases de maloclusión
Clase 1
Cuando los dientes de arriba y los de abajo engranan bien pero existe alguna separación entre las piezas, presentando en muchas ocasiones espaciamiento o apiñamiento, que es cuando no hay suficiente espacio en la encía para albergar los dientes y llegan a desalinearse (casi siempre haciéndose hacia adelante) o amontonarse. En México, la maloclusión más común es la de esta clase pero con apiñamiento, que es la falta de espacio. Se estima que más del 60% de la población lo padece.
Clase 2
Es cuando los dientes frontales sobrepasan a los de abajo. Esta obedece, en muchos casos, a prácticas como usar excesivamente el chupón o la mamila de pequeños, o porque se desarrollaron hábitos con el dedo dentro de la boca; empujando los dientes superiores hacia afuera.
Clase 3
Los dientes que sobresalen son los de la mandíbula inferior (que es más grande en tamaño) por sobre los de la superior (más chica).
Las causas de la maloclusión suelen ser
1-Desajuste de tamaño entre la mandíbula y los dientes
2-Hábito de chuparse el dedo o sacar la lengua
3-Pérdida de piezas
4-Algunos defectos congénitos de la mandíbula
5-Fractura de mandíbula
El origen más común es cuando la mandíbula es demasiado pequeña en comparación con el tamaño de los dientes. Esto ocasiona que los dientes estén demasiado apilados y por lo tanto, desalineados.
¿Se puede curar?
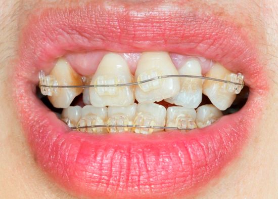
La respuesta es sí. El experto Alberto recomienda consultar al dentista para revisar el tratamiento adecuado. Entre los más populares están el de la ortodoncia metálica (mejor conocido como brackets,
o frenos) y los alineadores transparentes. Sus principales ventajas son que es más cómodo, de menor duración y dolor a comparación del procedimiento tradicional.
Ahora que sabes la oscura afección que arruina tu sonrisa. Es momento de poner manos a la obra.