Estás en Telenord Medios

Puedes continuar navegando en esta versión o visitar nuestra web de Servicios.

Skip to main content

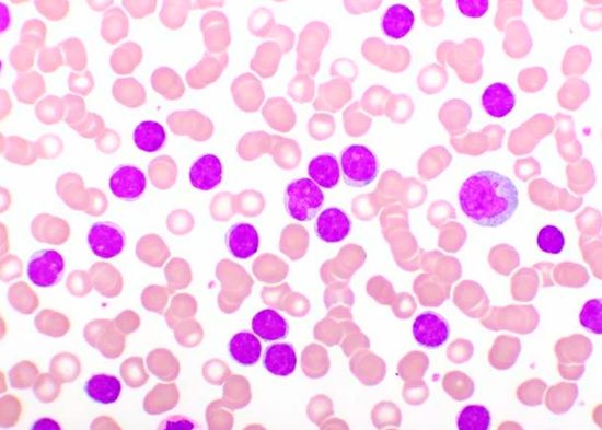
Identifican un gen que causa la leucemia linfocítica crónica sin mutar

Investigadores del Consejo Superior de Investigaciones Científicas de España (CSIC) han identificado un gen que, sin necesidad de mutar, causa leucemia linfocítica crónica, la más común en personas de más de sesenta años.

El estudio, publicado en la revista Molecular Cancer, muestra que más del 82% de los pacientes con este cáncer tienen niveles altos del gen RRAS2 y que las cantidades más altas de este gen están relacionados con leucemias más agresivas.

Esto, junto con la identificación de un marcador en el gen, "nos permite plantear que la mayor parte de las leucemias linfocíticas crónicas en humanos están causadas por la sobre-expresión de RRAS2", afirma el director del estudio, Balbino Alarcón, del Centro de Biología Molecular Severo Ochoa (CSIC-UAM).

El descubrimiento convierte al gen RRAS2 en un marcador inequívoco para la detección de la leucemia linfocítica crónica y abre las puertas a la exploración de nuevos tratamientos.

"Creemos que la proteína codificada por este gen puede ser un blanco importante para la generación de nuevos fármacos eficaces en el tratamiento de esta enfermedad", asegura Alarcón.

Los cánceres aparecen por la acumulación de daños en los genes de las células del organismo.

La búsqueda de oncogenes (genes concretos responsables de distintos tipos de cáncer), se hace mediante la identificación de mutaciones que provocan cambios en la secuencia de aminoácidos de las proteínas codificadas por los oncogenes.

Sin embargo, este estudio ha descubierto que RRAS2 causa leucemia linfocítica crónica sin mutaciones en su secuencia de aminoácidos, sino por la propia cantidad del gen en el organismo.

"Hemos observado que la expresión en cantidades por encima de lo normal del gen RRAS2 sin mutaciones en ratones es suficiente para provocar la aparición de leucemia linfocítica crónica en todos los animales", concluye Alarcón.